冠心病学科交叉暨介入治疗大会
Coronary Multidisciplinary & Interventional Therapeutics
跨学科峰会:抗栓治疗合并脑出血怎么办?
作者:admin 2016-09-23
- PCI术后脑出血,虽然发生率较低,但一旦发生将严重影响预后,死亡率较高。抗栓治疗合并脑出血的处理,目前没有明确的指南推荐。抗栓药物如何调整?先停一种抗血小板药物?停抗血小板药物多长时间?何时能够恢复抗血小板治疗?是双抗同时恢复还是先恢复一种?心内科医生往往不愿意停药,神内科医生认为停药时间越长越安全。从患者的角度,支架内血栓的问题致命,脑出血的问题同样致命,面对这两个重大的问题如何权衡?本期CMIT周报,以一则“PCI术后脑出血”病例为线索,邀请七位心内科、神经内科、神经外科专家,从不同角度,围绕“抗栓治疗合并脑出血”分享了各自的经验,希望能在实际临床处理上给大家一些参考意见。
- 本期主讲专家
- 王成钢 急诊危重症中心
- 首都医科大学附属北京安贞医院
- 张新勇 急诊危重症中心
- 首都医科大学附属北京安贞医院
- 史冬梅 干部保健科
- 首都医科大学附属北京安贞医院
- 王薇 神经内科
- 首都医科大学附属北京安贞医院
- 毕齐 神经内科
- 首都医科大学附属北京安贞医院
- 段婉茹 神经外科
- 首都医科大学附属北京安贞医院
- 徐跃峤 神经外科重症监护病房
- 首都医科大学宣武医院
- 病例摘要
- 王成钢主治医师(首都医科大学附属北京安贞医院急诊危重症中心):64岁女性,因“胸痛3年,加重5天”入院。现病史:患者3年前无明确诱因出现胸闷、胸痛,持续1小时不缓解,于当地医院就诊,诊断为急性心肌梗死,保守治疗后出院。5天前胸闷、胸痛症状加重,伴咽喉烧灼感。既往史:高血压病史,颈椎病病史,20年前因子宫肌瘤行子宫切除术。体格检查:血压150/80 mmHg,其余无明显异常。心电图如(图1)。超声心动图:提示PCI术后,静息状态下未见明显室壁运动异常,左室舒张功能减低。入院诊断:不稳定性心绞痛 陈旧性心肌梗死,高血压病II级(极高危),心功能I级(NYHA分级)。诊疗经过:予阿司匹林100 mg Qd,氯吡格雷75 mg Qd,低分子肝素60 mg Q12h,福辛普利5 mg Qd,美托洛尔47.5 mg Qd,瑞舒伐他汀10 mg Qn,单硝酸异山梨酯50 mg Qd。预后及出血风险评分:Grace评分98分(中危),Crusade评分:42分(高危,出血风险11.9%)。行冠状动脉造影示:前降支(LAD)近中段狭窄80%,回旋支(LCX)完全闭塞(视频1-4)。于LCX行球囊扩张术,于LAD置入1枚支架(视频5-7)。术中使用肝素6000 iu(60 kg),术后继续双联抗血小板治疗,其余药物同前。
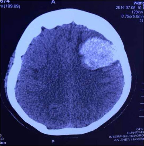
- 术后第2天患者出现呕吐、失语等症状,行急诊CT示:左侧额叶区见类圆形高密度灶,病灶大小为43.9×33.2 mm,左脑室轻度轻度受压,移位变形,出血量约30 ml(图2)。

图1.心电图

图2.头颅 CT提示脑出血
-
心内科医生观点
- 问题1.PCI术后脑出血,心内科医生怎么办?
- 张新勇副主任医师(首都医科大学附属北京安贞医院急诊危重症中心):脑出血是PCI术后的急性并发症,发生率低,死亡率高。心内科医生要密切观察,迅速处理,做到“五个及时”:(1)及时发现:早期发现脑出血的症状,急诊行头颅CT检查明确诊断。首发症状的不同与出血部位的不同有关,症状(如头晕、头痛、恶心、呕吐等)往往不典型,需要提高警惕性。(2)及时停药:① 肝素或低分子肝素及糖蛋白IIb/IIIa抑制剂应立即停用;② 氯吡格雷和阿司匹林,则需视患者的具体情况,至少停用一种(建议停用阿司匹林);③ 如果出血量较大,CT动态观察有继续出血,则应该停用所有抗血小板药和抗凝药。(3)及时会诊:请神经内科会诊协助评估病情及指导治疗,请神经外科会诊评估是否需要外科手术干预。(4)及时防治并发症:脱水、利尿,降颅压;抑酸、抗炎,预防消化道出血和感染;控制血压;胃肠减压预防吸入性肺炎。(5)及时决策:① 如果出血量不大,可严密观察下继续双抗血小板治疗;② CT动态观察没有继续出血,则停用阿司匹林,继续用氯吡格雷;③ 出血量较大,CT动态观察有继续出血,则应该停用所有抗血小板药和抗凝药;④ 停用双抗血小板药物5~7天,如病情稳定,CT未见血肿继续扩大,可尽早恢复双抗血小板治疗。针对本例患者的处理方案:行急诊头部CT,立即停用双抗和抗凝治疗,请神经内科协助诊疗及判断外科干预时机,对症处理并发症,病情稳定后恢复抗栓治疗。
- 观点总结:(1) PCI术前评估缺血和出血风险是基础:应用Grace和Crusade评分对患者缺血和出血风险进行危险分层,谨慎平衡缺血与出血风险,预防控制出血性并发症,争取临床最大获益。(2)PCI术后颅内出血个体化治疗十分关键:根据病情停用抗血小板、抗凝及对症治疗,根据颅内出血的部位与出血量决定治疗策略,根据恢复情况决定抗栓策略。
- 史冬梅主任医师(首都医科大学附属北京安贞医院干部保健科):(1)ACS合并卒中患者缺血风险高,应积极抗血小板治疗,出血风险是面临的主要挑战。PCI术后的出血的发生受多种危险因素影响:不可干预因素包括:高龄、女性、慢性肾病、基线贫血、卒中史、低体重、糖尿病史、高血压史、基线ST-T改变;潜在可干预因素包括:依诺肝素、比伐卢定;可干预因素包括:抗栓/血小板药物、较大的鞘管、侵入性治疗、手术时间、股动脉vs桡动脉入路等。(2)ACS合并卒中患者的缺血、出血风险相并行,缺血与出血平衡需贯彻治疗选择的始终。术前进行Crusade评分与Grace评分,权衡出血与缺血风险,对可干预因素进行控制,降低风险,预防出血事件的发生是临床关键。CHARISMA研究亚组分析:既往卒中/MI/症状性PAD的ACS患者,氯吡格雷+阿司匹林有效实现临床净获益。最新META分析,相比P2Y12抑制剂,氯吡格雷预防卒中更具优势,颅内出血降低。PLATO研究表明,替格瑞洛预防卒中并不优于氯吡格雷。TRITON研究表明,对有脑血管病史的ACS患者,普拉格雷所致颅内出血风险显著高于氯吡格雷。。
- 观点总结:ACS合并卒中患者缺血和出血风险均升高;抗血小板治疗是ACS和卒中重要的治疗策略,抗血小板治疗不增加卒中史患者出血风险;积极评估出血和缺血风险,以实现两者平衡,氯吡格雷+阿司匹林可显著降低既往有卒中病史的ACS患者缺血事件,且不增加严重出血风险。
神经内科医生观点
- 问题2.出血后处理,神经内科医生怎么办?
- 王薇副主任医师(首都医科大学附属北京安贞医院神经内科):出血是ACS治疗中的一个重要预后指标,临床上需积极应对ACS抗血小板治疗相关出血。(1)标准化出血定义,规范化出血数据管理。不同临床研究中出血定义存在差异,出血定义多样性易混淆用药安全性及疗效评估。根据出血学术研究联合会(BARC)标准,颅内出血为3c型,属于严重出血。(2)进行出血危险分层,识别高危人群,优化药物选择。出血风险评估是制定ACS治疗决策的重要组成部分,2011 ESC指南推荐,应用已发表的出血风险评分系统(如Crusade评分)(I,B),并根据患者特点进行个体化风险评估(I,C)。(3)出血发生时根据出血类型,谨慎调整抗血小板治疗策略。2011年ESC血栓工作组对ACS和PCI相关出血作出如下推荐:① 轻微出血:在不中断积极治疗的情况下进行适当的处理;② 严重出血:停用和(或)中和抗凝及抗血小板药物治疗,除非通过特殊止血治疗能得到完全控制;③ 输血对预后有不良的影响,依个体情况作出决定。对于血流动力学稳定、HCT>25%、HGB>8 g/dl的患者不考虑输血(图3)。
- 此外,COMMIT/CCS-2研究发现,与安慰剂相比,氯吡格雷不增加出血风险。对于本例患者,建议积极局部处理的情况下,继续氯吡格雷抗血小板治疗。

图3.2011ESC指南
- 毕齐主任医师(首都医科大学附属北京安贞医院神经内科):抗血小板治疗是冠心病、卒中、外周血管疾病等多种疾病的共同防治基础。抗血小板治疗引起的出血属于继发性脑出血,后者占全部脑出血的15%~20%。(1)双重抗血小板治疗出血情况分析:与单一抗血小板治疗比较,双重抗血小板治疗并不额外增加脑出血的风险。PCI术后双抗治疗,脑出血的发生率较低,一旦发生将严重影响预后,死亡率较高。(2)目前脑出血指南的推荐意见:欧美指南(2015AHA/ASA,2014ESO)无相关建议,中国指南关于上述问题有所描述(图4)。
- (3)实际临床工作处理的参考意见如(表1)。
- 观点总结:PCI术后双抗是冠心病治疗之必须,双抗后脑出血发生率较低,但可严重影响预后。目前尚无有效的药物治疗抗血小板引起的脑出血,PCI术后双抗脑出血如何处理目前尚无充足证据,双抗后脑出血是否停药应具体分析,兼顾心脑。

图4. 中国脑出血诊治指南(2014)

表1.PCI术后双抗脑出血的处理
神经外科医生观点
- 问题3.除了神经内科的治疗,神经外科的干预时机和措施?
- 段婉茹主治医师(首都医科大学附属北京安贞医院神经外科):本例患者脑出血的原因:① 双抗血小板+低分子肝素治疗,抗凝血药相关的自发性脑出血;② 术中肝素用量较大,是否当时即有少量出血,血肿逐渐扩大;③ 血压波动导致出血。针对病因,神经外科的处理建议:停用抗凝、抗血小板药物,控制血压,不适合外科有创治疗,适合保守治疗,同时密切观察警惕再出血。
- 徐跃峤副主任医师(首都医科大学宣武医院神经外科重症监护病房):抗栓药物相关颅内出血的治疗,我们总结的流程如(表2):(1)停用抗凝、抗血小板药。控制收缩压在140 mmHg以下。根据情况给予1~2次止血药物,急性心肌梗死除外。(2)① 小血肿(<30 ml):保守治疗,密切观察;② 大肿量(>40 ml)伴中线移位:血肿穿刺引流,24~48h尿激酶冲洗;③ 特大血肿(>70 ml):开颅血肿清除+去骨瓣减压。(3)如颅内出血稳定,7天后开始抗血小板治疗,控制血压至少2周。

表2.抗栓药物相关颅内出血治疗流程
- 外科治疗主要方法:开颅血肿清除术、锥颅或钻孔血肿引流术+血肿腔置管血块溶解术、立体定向技术清除血肿、内镜血肿清除术。禁忌证:重度血小板减少;严重凝血异常;双瞳散大固定、无自主呼吸;心脏及其他脏器系统不能耐受手术。
- 观点总结:外科治疗方式的选择:量小(30~40 ml以内)可考虑保守治疗;中等量的血肿,可考虑创伤较小的方法;危及生命的血肿,尽量选择开颅血肿清除,必要时去骨瓣减压。
- 病例(续)
- 首先停用双抗,给予甘露醇250 ml Q8h静点,鲁米那0.1g Q8h肌注,德巴金0.5g Bid口服以及营养支持治疗,同时请神内科会诊,无手术绝对适应证,建议保守治疗。出血后第2天复查CT示出血灶无明显变化,查血小板聚集实验AA10%,ADP41%。出血后第5天给予氯吡格雷150 mg Bid入胃管,第6天开始氯吡格雷75 mg Qd口服,3周后复查头颅CT示血肿吸收较好,患者好转出院。
- 主持专家现场点评
- 徐跃峤:本例患者PCI术后脑出血,经心内科、神内科和神外科医生联合治疗,综合管理,预后良好。出血后是否继续使用抗血小板药物?上述王薇主任医师认为如果出血已经控制,可以继续使用;如果不能控制,建议停药。我认为:如果对出血血管已经栓塞,完全可以使用;如果仅行穿刺引流术,早期内还是建议停药。从神外科角度来看,尽管刚开始出血量20~30 ml,但出血可能仍在进展,停药24~48h观察可能是更为安全的做法。
- 史冬梅(首都医科大学附属北京安贞医院):对于心内科医生来说,患者PCI术后双抗治疗出现脑出血,这是非常纠结的一个问题。因为虽然发病率不高,但是预后非常差。尽管有神内和神外科医生可以作为挽救患者生命的保证,但是从心内科的角度,脑出血的预防永远是第一位的。心内科的介入治疗作为始作俑者,首先,要把握好介入指证;其次,围术期不仅使用双抗,还会用到肝素、Ⅱb/Ⅲa受体拮抗剂、甚至用到四联,出血的风险明显加大。因此,术中、围术期、出院后的患者管理非常重要;此外,对于脑出血的患者,除了考虑抗栓治疗,血压、血脂、血糖等危险因素控制以及出血风险的评估都是非常重要的。
- 主持专家 :预防是第一位的,对于有易患因素,出血评分较高者,心内科医生要加强观察,及时发现,这点非常重要。对于轻微出血,应和神内科会诊,尽管指南都是各自学科的,没有跨学科的指南,但是基本原则一致,比较容易达成共识;对于较为严重的出血,决策权适当交给神经内科;对于更为严重的出血,则需要神经外科干预。期间,心内科医生需要全程参与,给予基础支持治疗。此外,需要根据患者具体情况进行具体分析,例如:对于左主干病变和单纯右冠或前降支病变,判断决策权重肯定不一样。
Take Home Message
- ·PCI术后双抗治疗,脑出血的发生率较低,一旦发生将严重影响预后,死亡率较高
- ·心内科医生的职责好比“总经理”,对于出血风险较高者,要做到密切观察,迅速处理,做到“五个及时”:及时发现、及时停药、及时会诊、及时防治并发症、及时决策
- ·PCI术前评估缺血和出血风险是基础,PCI术后颅内出血个体化治疗十分关键
- ·颅内出血的主要危险预测因素有:高龄(>75岁)、女性、低体重、严重肾功能不全、6个月内发生胃肠道出血、心功能不全、糖尿病、有脑卒中病史、脑血管畸形、术中使用主动脉内球囊反搏、未控制的高血压(SBP>160 mmHg,DBP>110 mmHg)。
- 思考问题
- 1.本例Crusade评分:42分,出血风险为高危,介入治疗策略是否选用金属裸支架?或者PTCA术?
- 2.ACC抗栓治疗指南建议保留阿司匹林,是否应该根据血小板抑制率来决定停用阿司匹林,还是氯吡格雷?
- 3.抗栓药物导致的出血,降低颅内压越多,激发出血更严重,甘露醇用药是否合适?是否考虑与速尿联合应用更为合理?
- 参考文献
- 中国脑出血诊治指南(2014)
- 2011 ESC指南
- 2011年ESC血栓工作组对ACS和PCI相关出血推荐
- 2014 European Stroke Organisation(ESO) guidelines for the management of spontaneous intracerebral hemorrhage
- 2015 AHA/ASA Guidelines for the Management of Spontaneous Intracerebral Hemorrhage