多学科病例解析

运动引爆青年男性心中的“炸弹”,究竟缘何?

主讲专家: 贾明;陈珏;徐磊;董然

讨论嘉宾:周立君;于洋;贾明;韩玲

报告会场:CMIT2016/MDT联合诊室4

编者按您知道吗?冠脉起源异常已成为青少年运动性猝死的重要原因,尤其是恶性的冠脉起源异常。然而,该病通常状态下并无症状,常规体检也无法检出,运动后则可能引爆这枚心中的“炸弹”!本期《CMIT周刊》以一则病例为线索,邀请重症、影像、心内和心外专家对该病的诊治进行深入交流和讨论,敬请关注!
主题病例

18岁男性,主因“突发胸闷6小时”入急诊。

现病史

6小时前,患者于跑步1500米后出现胸闷、头晕、恶心、呕吐,随之晕倒,大汗,四肢冰凉,意识模糊。送入校医院时发现血压几乎测不到,心电图提示aVR导联ST段抬高,前壁导联T波高尖(图1)。考虑急性广泛前壁心肌梗死、心源性休克可能,校医院立即联系安贞医院,迅速给予体外膜肺氧合(ECMO)维持生命体征,并转入医院急诊拟行冠脉造影检查。

既往史

初中及高中于跑步或其他运动时曾发作胸闷、憋气、呼吸困难,继之晕厥,2~3分钟后自行清醒,共发作2~3次,当地医院检查未见明显异常。

体格检查

入我院急诊科,胸闷、胸痛症状消失,出现咳嗽、咳血痰。T 36℃,P 90次/分,R 20次/分,BP 60/40 mmHg,SPO2 100%。神清语利,平卧位,查体合作。双肺底少量湿啰音,心音低钝,未闻及额外心音、杂音。

辅助检查

入院后心电图图2

思考问题

1.对于急性心肌梗死合并心源性休克,急诊床旁IABP和ECMO的临床价值?

2.对于青年男性运动后急性心肌梗死,如何及时发现病因?

重症专家观点

北京安贞医院心脏外科危重症中心贾明介绍:IABP是历史最久,已被广泛接受的左心室辅助装置。基本原理:在降主动脉内放置体积约30~40 ml的气囊。主动脉瓣关闭后,气囊被触发充气,使舒张期主动脉根部的灌注增加;在心脏收缩期前气囊放气,使左室的后负荷降低,心脏做功降低,心肌耗氧量降低,左心室充盈压降低。(图3.在使用IABP时的动脉压力波形的改变)

ECMO的目的是长时间体外循环、部分替代心肺功能以等待心肺功能恢复或移植。使用场所广泛,如ICU、手术室、病房、院内外等。有两种模式:V-V模式应用于急性呼吸功能衰竭,V-A模式用于急性心肺功能衰竭。

适应证:心脏术后心肺功能衰竭、CPR/心源性休克、原发呼吸衰竭、肺移植或左心室辅助装置术后、感染中毒性休克。

禁忌证:不可恢复的CNS损伤、严重慢性肺部疾患、伴高度预后不良性疾患、免疫抑制性疾患、多器官功能衰竭、凝血功能异常。

总之,IABP应用广泛,置入相对简单,价格便宜,但辅助能力有限;ECMO疗效确切,辅助能力较强,但国内应用局限,价格3~5万。
心内专家观点

阜外医院心血管内科陈珏介绍,在美国,先天性冠状动脉畸形是年轻人心源性猝死的第二大病因,仅次于肥厚性心肌病。冠状动脉变异中危险性最高的认为是冠状动脉异常起源于对侧冠窦,包括左冠状动脉主干起源于右冠窦及右冠状动脉异常起源于左冠窦,如果存在主肺动脉间走行,则危险性更高。

当使用常规方法和造影导管未能在通常位置发现相应的冠脉开口或某一主要冠脉分支区域显影缺如时,不能轻易认为是冠脉病变导致的血管闭塞,而需分析冠脉起源异常的可能。

由于冠脉造影缺少大血管走行的三维信息,对于左冠脉起源于右窦,推荐“点眼法”(图4)大致推测左主干的走行。在右前斜30°的体位下:(1)如果穿行于室间隔或走行在升主动脉前侧,会发现左主干走行绕成一个圈,类似“眼”;(2)如果走行在主动脉后侧或走行于主肺动脉之间,就只能看见左主干走行的横断面,类似一个“点”。

如果“点”出现在窦的右下方,则判断左主干走行在主动脉后侧(图5);如果“点”出现在窦的左上方,则左主干可能是走行于主肺动脉之间,这种情况比较危险(图6)。

病例续一

急诊冠脉造影

右冠状动脉正常,左主干开口严重狭窄,呈鸟嘴样视频1 视频2)。

血管内超声

未见明显冠脉内斑块形成,鸟嘴样狭窄考虑冠脉起源异常的可能。

思考问题

3.冠脉起源异常的CTA特征和优势?
影像专家观点

北京安贞医院医学影像科徐磊介绍,心脏CTA可以提供优秀的空间和时间分辨率,确保精确地评价冠状动脉变异的解剖结构。CTA作为无创性检查,对冠脉起源异常的诊断优于冠脉造影。

当临床患者尤其是年轻患者出现心绞痛、心肌梗死或室性心律失常甚至猝死幸存等情况,又无法用其他原因解释时,建议行冠状动脉CTA检查,以了解冠状动脉起源、分布及走行,观察有无冠状动脉先天性异常。

多数主动脉上起源位置异常,对供血无明显影响。需要注意“恶性”起源和终止异常:冠脉起自对侧冠状窦、冠脉起源于肺动脉等。左冠起自右冠状窦较右冠起自左冠状窦少见,但发生严重心血管事件的概率约为后者的2倍。

“恶性”起源典型CTA图像

冠脉起源于对侧冠状窦

右冠起自左窦(图13

左冠起自右窦(肺动脉前型):走行于右室流出道前方,不影响冠脉血流(图14

左冠起自右窦(主动脉后型):如图,回旋支起自右窦,走行于主动脉和左心房之间(图15

左冠起自右窦(动脉间型):走形于主动脉和肺动脉之间(图16

冠脉起源于肺动脉

左冠状动脉起源于肺动脉(图17

右冠状动脉起源于肺动脉(图18

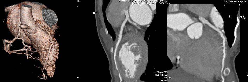
病例续二

冠脉CTA

提示左侧冠脉走行于右室流出道和主动脉之间(图7 图8)。

思考问题

4.冠脉介入治疗是否可行?

5.外科治疗的术式与评价?
心内专家观点

阜外医院心血管内科陈珏介绍,左冠脉起源于右冠窦产生心肌缺血和猝死的机制(图9):左冠是锐角发出,造成冠脉口嵴样狭窄,同时在心肌内和主肺动脉之间走行都可能会受到挤压,在此解剖结构的基础上,再加上运动的影响,就会造成冠脉扭曲、挤压、痉挛,从而产生心肌缺血的症状。考虑支架置入无法解决上述一系列问题,介入治疗不可行。

心外专家观点

北京安贞医院心外科董然介绍,冠状动脉异常起源于主动脉(AAOCA)是导致心源性猝死的罕见先天性畸形。最常见的类型是回旋支起源于右窦或右冠,此类型猝死风险较低。罕见但具有猝死风险的类型是左主干起源于右窦(ALMCA)和右冠起源于左窦(ARCA)。

手术适应证

1.AAOCA患者的手术指征是有心肌缺血症状,包括晕厥、心绞痛、猝死后复苏等。

2.无症状冠脉起源异常患者的手术指征存在争议,需权衡手术风险与疾病风险:(1)由于猝死风险高,ALMCA建议积极手术治疗;(2)研究表明,ARCA患者青春期前出现猝死的概率低。ARCA可推迟至青春期末行手术治疗。

手术方式

1.冠状动脉旁路移植手术(CABG):最早用于治疗冠状动脉异常起源于主动脉的外科术式,于1977年首次报道。由于桥血管长期通畅率不高、有窃血现象。对于老年患者是一种可接受的手术方式,但对于年轻患者效果不佳。

2.冠脉开口移植术:如果异常起源冠脉走行于主动脉壁外,可行冠脉开口移植术。手术难度较大。

3.去顶手术和改良去顶手术:(1)去顶手术:正中开胸,升主动脉及右房插管建立体外循环,“曲棍球型”切口切开升主动脉暴露病变冠脉。主动脉壁内通道远离瓣膜交界区,可直接剪开主动脉壁内通道;主动脉壁内通道靠近交界区,需先分离瓣膜交界与主动脉壁,去顶后再将瓣膜交界与主动脉壁缝合,有主动脉瓣关闭不全的风险。(2)改良去顶手术:主动脉壁内通道位于主动脉瓣膜交界处或交界下方,可在冠脉离开主动脉壁处内膜新建冠脉开口。去顶手术死亡率低,并发症少,短期中期随访效果好,是目前公认效果最好的手术方式。(图10

病例续完

转入ICU

患者神情,始终意识清楚。

不断监测超声心动图,心功能始终未见明显恢复(图11)。

胸片提示肺水肿改善有限(图12)。

心肌核素检查的灌注缺损区和反复超声心动图的室壁运动及增厚率减低区域,均提示有大量存活心肌,仍处于钝抑或冬眠状态。

药物治疗效果不佳,ECOM维持循环,无法撤机。

转入ICU第8日,患者突发意识丧失,经头部CT检查诊断为右枕叶脑出血,右侧额颞蛛网膜下腔出血,脑室受压,中线左移。最终放弃治疗,患者死亡。
专家点评

周立君(哈尔滨医科大学附属第一医院心内科):本例比较罕见,特点是:(1)在发病的第一时间,心肺复苏非常重要,其校医院做得非常好;(2)ECMO启动非常迅速;(3)造影后判断非常准确,同时行IVUS、CTA检查,通过影像检查确诊左主干走形异常;(4)后来出现颅内出血,可能跟ECMO辅助产生的副作用有关;(5)尽管ECMO可替代心肺功能,但左主干病变较严重,在观察治疗期间随时可能出现意外,因此应该处理左主干。这种病变不是介入治疗的适应证,ECMO辅助下外科手术效果可能更好?

于洋(北京安贞医院心外科):从心脏外科的角度,根据指南,急性心肌梗死6小时以内,确实有手术指证。本例患者IABP联合ECMO辅助,期间肺水肿状态明显,综合考虑:即使做手术,手术风险和死亡率都比较高。今后遇到这样的病例,如果在6小时以内,治疗方案可考虑急诊支架或手术?

贾明:对于左冠脉起源于右窦导致的急性心肌梗死(类似于本例患者),在美国已经形成共识,结论是:发现即手术。

于洋:ECMO辅助确实大大提高了心脏外科危重患者的生存率,如何在短时间内判断单用IABP还是联合应用IABP和ECMO?

贾明:(1)对于缺血性或者存在一定心脏功能的患者,首选IABP,创伤小,花费低,有一定的辅助作用,可提高10%~20%的心排;(2)如果循环维持不住,药物或IABP治疗无效,在没有Impella等情况下,可选择ECMO。在我们医院,最快的一例,从家属签字到ECMO运转仅用了25分钟。

韩玲(北京安贞医院小儿心内科):对于运动后晕厥,不仅要考虑遗传性心律失常,还要考虑先天性冠脉起源异常。这类患者可能是发作性的,可能有或没有慢性心功能不全,因为有代偿机制。提示心内科医生,对于有晕厥病史患者,即使没有心功能不全,也要提高警惕,一定要行CTA检查。

要点总结

⊙冠脉造影:对于左冠脉起源于右窦,推荐“点眼法”大致推测左主干的走行

⊙冠脉CTA:CTA作为无创性检查,对冠脉起源异常的诊断优于冠脉造影

⊙介入可行性:对于左冠脉起源于右窦,介入治疗不可行

⊙外科手术:对于左主干起源于右窦,由于猝死风险高,建议积极外科治疗:CABG手术效果不佳,不适用于此类患者;去顶手术是目前公认效果最好的手术方式


整理:郭淑娟

审校:冯斯婷

发表评论

参考文献

版权声明
CMIT周刊版权所有,欢迎个人转发分享,其他任何媒体、网站转载须在醒目位置注明“转自CMIT周刊”。

推荐文章

实时热点

反思|一例PCI术后2月消化道出血辗转多科室的曲折经历

PCI术后消化道大出血,如何联合多学科优化诊疗?如何权衡血栓形成及出血风险?相信不少同道都曾面临这样的两难境地,本期《CMIT周刊》以一则PCI术后2月消化道出血的病例报告为线索,联合...

2017-03-18查看详情+