协和疑难病例

一个大学教授的“心塞”往事

主讲专家: 韩业晨

讨论嘉宾:陈韵岱;田庄;朱文玲

报告会场:CMIT2016/协和疑难病例

编者按由北京协和医院韩业晨带来一例病例,真性红细胞增多症一方面导致了脾静脉和冠状动脉的栓塞,一方面又因为脾静脉栓塞-门脉高压-食管胃底静脉曲张,而出现反复消化道出血……这样的“心塞”患者,您该怎么办?
【病史】

主诉:44岁男性,因“反复胸闷、胸痛1年余,加重半年”于2013年11月18日入院。

现病史

1年前(2012年)起患者反复出现活动后胸闷、胸痛,休息后缓解,予阿司匹林100mg、氯吡格雷75mg口服。

半年前(2013年6月23日),上述症状再发加重,心电图(ECG)示:窦律,心率48次/分,Ⅲ、aVF导联ST段上移0.1~0.2 mv,超声心动图(UCG)示:左室下壁运动幅度减低,当地医院诊断“急性下壁心肌梗死”,予抗凝、扩冠等治疗,约5小时后胸痛好转,复查ECGST段回落。鉴于患者1月前消化道大出血病史,当地停用阿司匹林,予阿托伐他汀20 mg qn,氯比格雷75 mg qd长期治疗。然而此后仍反复胸闷、胸痛,活动、休息均有发作。

遂2个月后(2013年8月7日)于当地医院行冠脉造影(CAG):左右冠脉可见钙化,LM无狭窄,LAD肌桥,收缩期狭窄50%;RCA近段弥漫狭窄最重80%,可见机化血栓影,建议继续药物治疗。患者胸闷、胸痛发作较前无改善,常于活动后加重时自服氨酚咖匹林(阿司匹林0.2268g、对乙酰氨基酚0.136g、咖啡因33.4mg)1片,胸闷、胸痛明显减轻,效果持续2~3天;或吲哚美辛栓0.5粒置肛,效果持续1天。
图1当地医院CAG

既往史

2008年,行右肩“隆突性皮肤纤维肉瘤手术”,术后行放疗。痛风病史。

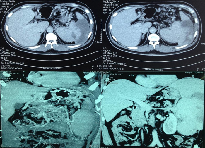
2010年,因“左上腹痛,发热”入我院。腹部CT示:巨脾,脾梗死;脾动脉迂曲,脾静脉纤细,闭塞不除外,脾门、脾周、胃底多发侧支循环形成(图2)。
图2腹部CT检查

血常规:HGB 180 g/L,WBC、PLT大致正常。骨穿示骨髓增生明显活跃,JAK2/V617F基因(+),诊断为真性红细胞增多症,交替给予羟基脲、干扰素治疗,HGB控制欠佳,同时予阿司匹林100 mg qd。

2013年5月,出现呕血和黑便,当地医院查胃镜:胃底静脉曲张。停用阿司匹林,口服氯比格雷75 mg qd。之后再次呕吐咖啡样胃内容物,排黑便,改为硫酸氢氯吡格雷50 mg qd。

无高血压、高脂血症、糖尿病病史。

个人史

吸烟20年,每日20支,戒烟3年;少量饮酒史。

【体格检查】

BP 130/65 mmHg,P 60次/分,SpO2 96%;

LN(-),全身未见蜘蛛痣,无肝掌;

双肺呼吸音清,未闻及干湿啰音;

心界不大,心率60次/分,律齐,各瓣膜听诊区未闻及病理性杂音;

腹壁未见曲张静脉,肝(-),脾大平脐,质地稍韧,未超过正中线,无压痛;

双下肢无水肿。

【入院诊断】

不稳定性心绞痛?

陈旧性心肌梗死(下壁)?

真性红细胞增多症

脾梗死

脾静脉栓塞

胃底静脉曲张

上消化道出血

皮肤纤维肉瘤术后

【实验室检查】

血常规:PLT 188×109/L,WBC 7.29×109/L,HGB 145~156 g/L。

尿常规、粪便常规+OB均正常。

肝肾功能、血脂、凝血功能、易栓症:大致正常。

JAK2-V617F(+)。

【辅助检查】

骨穿:增生活跃,成熟中性粒细胞胞浆可见中毒颗粒;红系中幼红细胞比例增高,红细胞排列紧密,间隙减小,可见个别“泪滴”样红细胞;巨核细胞不少,可见单圆、双圆、多圆巨核细胞,血小板不少,可见巨大血小板。

骨髓活检:造血组织比例略增多,网织纤维染色(+),病理形态未见明确骨髓纤维化改变。

肝纤维化三项(-)。

腹部超声:脾大、脾梗死,门脉1.4 cm(增宽)。

静脉超声:门静脉、肠系膜上静脉、肝静脉、下腔静脉、双下肢深静脉无明显异常;胰腺后方脾静脉未见明显异常,近脾处脾静脉显示欠清,不除外脾静脉血栓伴侧支形成。

UCG:左室下后壁运动异常,EF 74%。

胃镜:食管静脉球,胃底孤立性静脉曲张(重度),慢性浅表性胃炎,胃底静脉曲张可见红色征(图3)。
图3胃镜检查

【诊疗经过】

普外科专家认为:患者区域性门静脉高压、胃底静脉曲张,行脾切除、食管胃底静脉分流术能减少上消化道大出血风险,但脾大、脾梗死由真性红细胞增多症导致,应以治疗原发病为主。

血液科专家认为:目前真性红细胞增多症相对稳定,如无禁忌,予抗血小板治疗。

心绞痛治疗方案

入院后予氯吡格雷75 mg qd抗栓,他汀药物稳定斑块,硝酸酯类药物抗心绞痛治疗,同时抑酸预防消化道出血。仍间断心绞痛发作,ECG有动态演变,使用吲哚美辛后胸痛症状可缓解。因焦虑加用罗拉+阿普唑仑。

病情加重

患者住院期间,于2013年12月11日静息状态下胸痛再发不缓解,伴cTnI轻度升高,考虑NSTEMI,予静脉泵入硝酸甘油,加用那曲肝素钙4000U IH q12h,同时加强抑酸,效果不佳。

此后间断予镇痛药(哌替啶、曲马多、吗啡),患者胸痛才逐渐缓解,6天后停用那曲肝素钙。

12月17日中午患者胸痛加重,伴大汗、恶心、及呕吐少量胃内容物,复查ECG示新发右束支传导阻滞(图4),心肌标记物明显升高(cTnI 3.152→9.839μg/L↑)。床旁UCG:左室收缩功能减低,室间隔中下段及心尖部无运动,左室前壁及下后壁中下段运动明显减低,左心增大,LVEF 38%。
图4
胸痛加重,将治疗升级

治疗结果

床旁UCG:左室收缩功能减低,室间隔中下段及心尖部无运动,左室前壁及下后壁中下段运动明显减低,左心增大、二尖瓣轻度关闭不全,LVEF 38%(单平面法)。

复查CAG:RCA近段完全闭塞,LCA局部机化血栓影,慢血流。
图6复查CAG

此时是再血管化治疗,还是抗凝药物治疗?

选择抗凝策略

肝素750~1000U/h泵入抗凝,ACT 50~70s,但仍有胸痛发作。加用阿司匹林100 mg qd后胸痛未再发。

1周后予华法林,INR 2.14时停泵肝素。复查UCG,

LVEF 49%。

出院前情况

阿司匹林0.1g qd

华法林4.5/3 mg交替

硝酸异山梨酯10 mg tid,单硝酸异山梨酯60 mg qn

美托洛尔35.625 mg qd

培哚普利2 mg qd

瑞舒伐他汀5 mg qd

盐酸曲美他嗪20 mg tid

硫糖铝1g tid,埃索美拉唑镁20 mg bid

劳拉西泮0.5 mg qd,阿普唑仑0.4 mg qn

患者精神、饮食、睡眠好,间断室内活动,患者间断晨起诉胸闷,VAS 4-5分,可自行缓解。复查ECG无明显改变。便OB(-),HGB 131~150 g/L。2014年1月21日出院。

【出院后随访】

2014年:羟基脲治疗原发病,心功能有改善

血常规:WBC 9.22×109/L,HGB 173 g/L,PLT 285×109/L。INR 2~3,加用羟基脲500 mg qd HGB 126 g/L。

腹部B超:门脉1.0 cm(正常),脾大(厚8.3 cm,长径17.9 cm,肋下6.0 cm)。

UCG:节段性室壁运动异常(左室下后壁中下段及后间隔中部),LVEF 62%。

2015年3月:再发消化道出血,行介入栓塞术

黑便300 ml,呕血400 ml,HGB 120→97 g/L。急诊胃镜:胃底静脉迂曲呈串珠样改变,多发红色征,局部表面可见血痂覆盖。

外科专家认为:行脾切除、食管胃底静脉分流术可以减少消化道出血,但考虑患者病情,手术风险高。

介入专家认为:栓塞治疗方案可行,于全麻下完成经皮经肝经门静脉选择性胃冠状静脉栓塞术。

2016年3月8日:未再发胸痛,仍反复消化道出血

突发呕吐大量咖啡渣样物质、黑便。

停用阿司匹林+华法林后好转,恢复口服阿司匹林+华法林(INR<1.8)后再次出现呕血、黑便。

外院多次行胃镜下注射硬化剂治疗,复查胃镜:食管未见静脉曲张,胃底原组织胶注射处黏膜充血水肿,可见大量排胶,未见表面陈旧性血迹。

血三系减低:WBC 2.58×109/L,HGB 73 g/L,PLT 60×109/L。

骨髓涂片+显像:骨髓纤维化,脾脏为髓外造血源头。

多科会诊:脾脏切除后骨髓衰竭可能,可以前期行骨髓移植,胃底静脉曲张可以重复进行组织胶注射治疗。

恢复阿司匹林抗血小板+二级预防药物治疗。
【专家点评】

陈韵岱(301医院):1.本例根源为真性红细胞增多症,出现动脉系统(心梗)和静脉系统(脾梗死、胃底静脉栓塞)严重的血栓形成,导致后续抗栓治疗和出血风险非常棘手。从本例来看,后期使用抗凝治疗,患者心功能后期有改善,抗凝可能有益。整体上看,抗凝治疗是否可以前移?

2.动脉和静脉系统均出现血栓,本例选择“阿司匹林+华法林”,是如何考虑的?

田庄(北京协和医院):1.该患者来我们医院的时候已经胃底静脉曲张了,抗栓和出血的矛盾已经摆在我们面前。后来反复心梗的主要原因是:胃底静脉曲张导致消化道出血而不得不停用抗血小板药物。

如果早期静脉系统血栓没有形成的时候,如果查体发现血红蛋白显著升高,及早给予抗血小板药物,可能就不会形成脾静脉血栓、脾栓塞,后续让心内科医生面临如此被动的困境。本例提示,如果发现血红蛋白显著升高,建议尽早血液科就诊。

2.抗凝策略。发现本例单用抗血小板药物,已经不能减少冠脉血栓的形成,后来加了抗凝药,肝素泵入后患者症状逐渐缓解。后来考虑风险比较大,没有复查CAG,唯一一次CAG发现指引导管里面血栓已经形成。通过UCG结果来看,室壁运动开始恢复。RCA和LAD血管可能部分再通,可见,阿司匹林+抗凝还是能够起到比较好的效果。

针对此类患者,阿司匹林的抗血小板效果可能优于氯吡格雷。对于真性红细胞增多症,指南明确推荐长期口服阿司匹林。

朱文玲(北京协和医院):1.心肌梗死90%以上是由动脉粥样硬化引起的,10%以下不是由动脉粥样硬化引起的。本例带给我们的经验是:首先,心梗的病因可能是由其他疾病引起的,一定要有这种意识;其次,针对病因的治疗特别重要。

2.抗凝抗血小板策略。对于真性红细胞增多症,血液科的常规治疗是阿司匹林,不给予肝素或华法林。

本例患者进入我们科以后,在单用阿司匹林的情况下,不断地胸痛,甚至要吃止疼药的程度,查房考虑加用磺达肝癸钠,加用后还是有症状,且左冠状动脉出现血栓,抗凝需要加强,开始使用普通肝素,可以检测APTT(50~70s),可以有效的抗栓。1周更换为华法林,长期服用。

本例如果发生脾栓塞的时候,就加用肝素,可能就不会出现后续的一些棘手的问题。

3.本例治疗非常谨慎,反复讨论,不能轻易行手术治疗。如果切除脾脏,可以解决门脉高压的问题,但是考虑到红细胞增多,发展下去可能骨髓纤维化,一定要保证脾脏髓外造血的机制。

陈韵岱:本例红细胞增多症合并严重冠脉病变,因其特殊的高凝状态和抗栓风险,仅给予抗凝,没有过多的器械操作可能是更好的选择。

另外,因病情的复杂性,早期脾栓塞没有给予抗凝,出现严重骨髓纤维化后也没有行脾切除,本例关于“度”的把握,确实让我们学习很多。

欢迎探讨

1.患者因胃底静脉曲张反复消化道出血风险极高,未行冠脉介入治疗。如果没有消化道出血的高风险因素,对于真性红细胞增多症合并ACS,药物保守和PCI术,何者更佳?

2.临床上,您有没有遇到类似病例呢?
文献回顾

真性红细胞增多症是(polycythemia vera,PV)是一种原因不明的慢性骨髓增生性疾病,其特点是红细胞数量升高,全血容量绝对增多,常伴有白细胞和血小板的增多,血液粘滞度高,容易导致血栓形成和梗死。

临床表现

多血质表现:占60%,皮肤红紫,结膜充血,呈现“酒醉”面容。

神经症状:占71.4%,头痛最常见。

出血:占40%,多为皮肤粘膜出血。与血管内膜损伤、组织缺氧、血小板及凝血因子异常有关。

肝脾肿大:PV的重要体征之一。

血栓形成和栓塞:占25%,其中脑血栓形成最多见。

表1 PV血栓风险分层


表2根据PV血栓风险分层的治疗方案

备注

显著血小板增多:血小板计数≥1500×10^9/L

静脉切开术、细胞减灭治疗(羟基脲、干扰素α或卢可替尼):目的是控制红细胞容积并使其<45%

证据等级

[A Evidence] PV患者低剂量阿司匹林给药的安全性和有效性:有A类证据支持这一结论。

[B Evidence] 羟基脲对血栓事件的预防作用:有中等级证据表明其有效性和相对安全性。

发表评论

参考文献

版权声明
CMIT周刊版权所有,欢迎个人转发分享,其他任何媒体、网站转载须在醒目位置注明“转自CMIT周刊”。

推荐文章

实时热点

反思|一例PCI术后2月消化道出血辗转多科室的曲折经历

PCI术后消化道大出血,如何联合多学科优化诊疗?如何权衡血栓形成及出血风险?相信不少同道都曾面临这样的两难境地,本期《CMIT周刊》以一则PCI术后2月消化道出血的病例报告为线索,联合...

2017-03-18查看详情+